В истории было множество людей, циркачей, артистов, которые делали что-то невероятное. Все из них были разоблачены и оказались шарлатанами. А вот жил такой парень — Мирин Дажо (настоящее имя Арнольд Хенске). Если кто не знал или забыл, то это единственный известный в истории человек с суперспособностью неуязвимости. Его могли сколько угодно протыкать шпагами через внутренние органы и он не умирал.
Почему?
 ![]()
 В 1945 году, на 33-м году жизни, Арнольд поверил в то, что его тело неуязвимо. Он бросил работу и переехал в Амстердам, где ходил по кафе и барам и предлагал посетителям зарезать себя.
Хотя Арнольд прославился исключительно прокалыванием тела, на его первом выступлении он съел кусок стекла и шесть лезвий. Как признавался сам Арнольд, эти вещи никогда не покидали его тело, а дематериализовались внутри него.
В Амстердаме он взял себе псевдоним Мирин Дажо (эспер. Mirin Daĵo, от mirindaĵo), что в переводе означает «чудо».![]()
 Следующим этапом стал поиск агента, который бы организовывал М. Дажо выступления: сначала в кафе и клубах, позже в театрах и церквях для донесения своего послания человечеству. Агент был найден, и Мирин Дажо был отправлен для обследования в университет Лейдена, чтобы получить лицензию на выступления. Первое научное обследование провели профессор Карп, доктора Бертольт и Стоквис. Лицензию Мирин Дажо получил только для выступлений в закрытых клубах в связи с необычным умением. Это огорчило его, так как демонстрация неуязвимости должна была проходить не в форме шоу, а в форме лекции и должна была являться донесением до людей его мировоззрения.
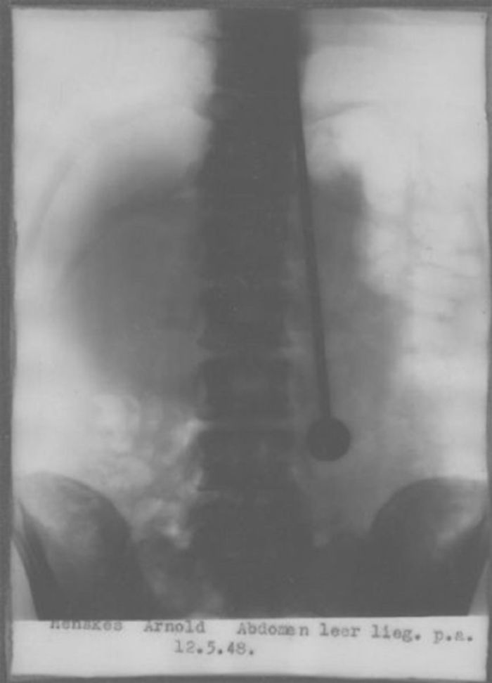
![]()
 Ян де Гроот (агент) подсчитал, что в день Дажо прокалывали более 50 раз, и несколько дней более 100 раз. Острые спицы и рапиры проходили сквозь сердце, лёгкие и селезёнку, иногда через несколько органов одновременно, кровь при этом отсутствовала. Время от времени лезвия посыпались ядом или вонзались преднамеренно заржавевшие. В одном выступлении в Цюрихе, чтобы доказать публике, что это не обман, Дажо пронзили тремя полыми 8-миллиметровыми трубками, через которые подавалась вода.![]()
 В 1947 году Мирин Дажо отправился на гастроли в Швейцарию. 31 мая 1947 года он продемонстрировал свои таланты в Цюрихском кантональном госпитале в присутствии множества докторов, врачей и журналистов. Там же были сделаны рентгеновские снимки, показывающие пронзённые шпагой внутренние органы. После изъятия шпаги кровь отсутствовала, а на теле остались лишь маленькие пятнышки. Подобные исследования были проведены также в Базеле и Берне.
По словам одного из ученых, который вместе со своими коллегами наблюдал за феноменом Дажо, то, что он демонстрировал, заставляло специалистов только разводить руками. С научной точки зрения происходящее объяснить было невозможно. С обнаженным торсом Дажо абсолютно спокойно стоял посередине помещения, а в это время со спины к нему подходил ассистент и резко втыкал в бок длиннющую острую рапиру. При этом Мирин Дажо продолжал сохранять невозмутимый вид.
Но самое странное и для врачей, и для научных работников состояло в том, что острие металла не оставляло на теле уникального человека никаких ран — все происходило абсолютно бескровно.
Для того чтобы убедиться в отсутствии повреждения внутренних органов, Дажо сделали рентген. И легкие, и сердце были в полном порядке, несмотря на то, что в них в этот момент находилась настоящая рапира. Создавалось впечатление, будто бы орудие проткнуло насквозь не живого человека, а манекен с пластилиновыми органами. Причем уникум уверил врачей, что никакого вреда острый предмет ему не нанес, но все-таки снисходительно разрешил помазать малюсенькие отверстия в теле, оставленные рапирой дезинфицирующими средствами.
 
 Несмотря на то, что самому Дажо кинжалы и рапиры не причиняли никакого вреда, зрители часто падали в обморок. Во время одного из выступлений у особенно впечатлительной зрительницы случился сердечный приступ. А на представлении в концертном зале «Корсо» в Цюрихе рапира задела кость. Услышав в абсолютной тишине негромкий скрежет, несколько человек упали в обморок. Это привело к тому, что Дажо запретили проводить свои выступления в больших залах. Ему пришлось ограничиться сценами кафе и баров, но это его не смущало.
Как же он умер?
Во время гастролей по Швейцарии «ангелы-хранители» Дажо велели ему проглотить стальную иглу, которую затем полагалось извлечь хирургическим путём. Причём операция должна была пройти без наркоза. 11 мая 1948 года Дажо проглотил иглу. Она оставалась внутри его тела два дня. Доктор согласился извлечь её, но операцию 13 мая провели под наркозом.
 ![]()
 Через 10 дней помощник де Гроот отправился в аэропорт встречать жену, а Дажо остался дома и лёг в постель. Приехав домой, де Гроот с женой застали Дажо по-прежнему лежащим в постели. Ян знал, что его друг часто медитирует или как он утверждал "покидает тело". Поэтому он, как обычно, проверил у него пульс и, убедившись, что пульс бьётся сильно и ровно, ушёл. Дажо не встал и на следующий день. Поскольку он никогда не впадал в столь длительный "транс", де Гроот забеспокоился, но Дажо продолжал глубоко дышать, и пульс у него был ровным.
Утром третьего дня де Гроот вновь заглянул в комнату друга. Ни пульса, ни дыхания у Дажо уже не было. Дажо был объявлен мёртвым 26 мая 1948 года. Вскрытие показало, что причиной смерти является разрыв аорты. Хирург, извлекавший иглу, и де Гроот с этим заключением не согласились.
 
 Скептики уверены, что он фокусник: "закрывает кулаком откуда выходит наконечник, закрывает рукой отверстие когда вынимает шпагу, ну и подделка рентгена. Края должны быть черными, а шпага и тело белыми (и должны быть видно ребра и внутренние органы." Но это мнение юзеров интернета, каких то документов или источников на этот счет нет.
А какие ваши версии?
  
 		
 
Комментариев нет